Η αρθροπλαστική ισχίου είναι η επέμβαση που συστήνεται στους ασθενείς που πάσχουν από οστεοαρθρίτιδα καθώς και από ρευματοειδή αρθρίτιδα του ισχίου. Η επιβάρυνση, βλάβη ή και καταστροφή του ισχίου, μπορεί να οδηγήσει στην δραματική πτώση της ποιότητας ζωής των ασθενών αφού μπορεί να αποτελέσει εκτός από πηγή έντονου και καθημερινού πόνου και σοβαρή αιτία αναπηρίας.
Ανατομικά, η άρθρωση του ισχίου περιλαμβάνει την κεφαλή του μηριαίου και την κοτύλη της λεκάνης που περιβάλλονται από χόνδρο. Αυτός βοηθά στις κινήσεις προσφέροντας μια λεία ολισθηρή επιφάνεια, ενώ η κοτύλη σχηματίζει ένα κοίλωμα, μέσα στο οποίο βρίσκεται και κινείται η κεφαλή του μηριαίου. Την άρθρωση σταθεροποιούν ισχυροί σύνδεσμοι και την κινούν οι ισχυροί μύες που βρίσκονται στην περιοχή.
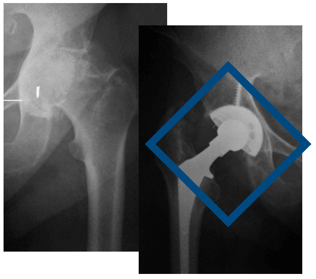
Η αρθροπλαστική ισχίου είναι η επέμβαση κατά την οποία αντικαθίστανται οι κατεστραμμένες επιφάνειες της άρθρωσης του ισχίου με τεχνητά εμφυτεύματα.
Στην αρθροπλαστική ισχίου εφαρμόζουμε τα σύγχρονα πρωτόκολλα της fast track αρθροπλαστικής:
Η κινητοποίηση του ασθενούς με βάδιση αρχίζει από το απόγευμα της ίδιας ημέρας.
Οι πόνοι της επέμβασης αντιμετωπίζονται πλήρως με ειδική περιοχική αναισθησία και αποφεύγοντας τα oπιοειδή που καταστέλλουν τον ασθενή.
Αναίμακτη επέμβαση χωρίς μεταγγίσεις εφαρμόζοντας τα σύγχρονα πρωτόκολλα διαχείρισης αίματος.
Παραμονή στην κλινική από 1-3 ημέρες.
Αναλόγως της φυσικής κατάστασης του ασθενούς επιτρέπεται η βάδιση με πλήρη φόρτιση του σκέλους και χωρίς υποστηρικτικό μέσο μετά τις 10-15 ημέρες.
Τι προβλήματα προκαλεί η οστεοαρθρίτιδα ισχίου;
Η οστεοαρθρίτιδα του ισχίου είναι ο μεγάλος ένοχος που πολλές φορές μας οδηγεί στην χειρουργική επέμβαση . Πρόκειται για μια χρόνια εκφυλιστική νόσο στην οποία ως αποτέλεσμα μακρόχρονης χρήσης και τριβής παθαίνει βλάβη ο χόνδρος που υπό κανονικές ανατομικές συνθήκες καλύπτει τις επιφάνειες των οστών που έρχονται σε επαφή στην άρθρωση του ισχίου.
Η διαδικασία της εκφύλισης αρχίζει με οίδημα, φθορά του χόνδρου και αργότερα σοβαρές διαβρώσεις. Καθώς η νόσος προχωράει, αναπτύσσονται οστεόφυτα τα οποία είναι ανώμαλες οστικές προεκβολές στα περιφερικά όρια της άρθρωσης, που όταν μεγαλώσουν αρκετά μπορούν να περιορίσουν τις κινήσεις. Στο τελικό στάδιο της νόσου μπορεί να προκληθεί ολοκληρωτική καταστροφή του αρθρικού χόνδρου, με αποτέλεσμα τις ανώμαλες επιφάνειες προστριβής των οστών και τα εκτεταμένα οστεόφυτα στα χείλη της άρθρωσης.
Ποιο είναι το συνολικό κόστος της επέμβασης;
Το συνολικό κόστος της επέμβασης εξαρτάται από:
1) Το επίπεδο της κλινικής που θα επιλεγεί.
2) Την ποιότητα των υλικών που θα χρησιμοποιηθούν.
3) Την αμοιβή της χειρουργικής ομάδας που θα αναλάβει την επέμβαση (χειρουργός, βοηθός και αναισθησιολόγος).
24 Ώρες μετά την επέμβαση Part 1
24 Ώρες μετά την επέμβαση Part 2
3 Μήνες μετά την επέμβαση
Αποτέλεσμα αυτών των αλλοιώσεων είναι η απώλεια της λειτουργικότητας του ισχίου και η εμφάνιση ολοένα και αυξανόμενου πόνου κυρίως όταν περπατάμε, με αποτέλεσμα τη μή στήριξη του βάρους στο πόδι που πάσχει. Ο πόνος γίνεται αισθητός στη βουβωνική περιοχή ή στην πρόσθια περιοχή του μηρού και μερικές φορές στην εσωτερική πλευρά του γόνατος. Η ηλικία πολλές φορές δεν παίζει κάποιο ρόλο αλλά όσο περισσότερο διάστημα πάσχουμε από οστεοαρθρίτιδα του ισχίου, τόσο τα συμπτώματα χειροτερεύουν.
Η λύση στα σοβαρά προβλήματα του ισχίου έρχεται μέσω της ολικής αρθροπλαστικής ισχίου. Άλλωστε, τα τελευταία χρόνια έχουν πραγματοποιηθεί παγκοσμίως εκατοντάδες χιλιάδες επεμβάσεις από εξειδικευμένους ορθοπαιδικούς χειρουργούς, οι οποίοι για να την πραγματοποιήσουν θα πρέπει να έχουν λάβει πιστοποίηση επάρκειας. Η επέμβαση συνιστάται στους ασθενείς που πάσχουν από οστεοαρθρίτιδα καθώς και από ρευματοειδή αρθρίτιδα του ισχίου, όπου η καταστροφή της άρθρωσης από τη νόσο αφορά και την κοτύλη και το μηριαίο. Η επέμβαση μερικές φορές γίνεται και σε άλλες περιπτώσεις όπως σε υποκεφαλικά κατάγματα του μηριαίου ή σε άσηπτη νέκρωση. Η άσηπτη νέκρωση είναι μια νόσος στην οποία νεκρώνεται η κεφαλή του μηριαίου και οδηγείται τελικά σε οστεοαρθρίτιδα ισχίου. Οι περισσότεροι ασθενείς που υποβάλλονται σε ολική αρθροπλαστική ισχίου είναι πάνω από 50 χρονών χωρίς ασφαλώς να αποκλείεται επέμβαση και σε νεότερους ασθενείς. Έτσι, εάν νιώθετε πόνο ο οποίος περιορίζει όχι μόνο την ικανότητα για εργασία αλλά και τις καθημερινές σας δραστηριότητες, εάν δεν έχει βοηθήσει καμιά φαρμακευτική αγωγή, ούτε ο περιορισμός των δραστηριοτήτων σας ή κυρίως η δυσκαμψία στο ισχίο έχει προχωρήσει σε μεγάλο βαθμό, τότε θα πρέπει να υποβληθείτε σε επέμβαση αρθροπλαστικής ισχίου.
Προετοιμάζοντας την εγχείρηση ο ιατρός θα λάβει αναλυτικά το ιατρικό ιστορικό σας και θα προβεί σε αιματολογικές εξετάσεις, ακτινογραφίες και καρδιογράφημα που θα επιβεβαιώσουν ότι δεν διατρέχετε κάποιο κίνδυνο και είστε ασφαλής να εγχειριστείτε. Κατά τη διάρκεια της επέμβασης αφαιρείται η μηριαία κεφαλή του ισχίου και αντικαθίσταται από τεχνητή άρθρωση. Αυτή, αποτελείται από δύο μέρη: ένα μεταλλικό στέλεχος (στειλεός) με μια μεταλλική κεφαλή στην άκρη του και που εφαρμόζεται στο μηριαίο οστό και ένα ένθεμα σαν μικρό κυπέλλιο κατασκευασμένο από πολυαιθυλένιο (πλαστικό) που περιβάλλεται από μεταλλικό κέλυφος και εφαρμόζει στην κοτύλη. Για την σταθερή στήριξη των τεχνητών αυτών μερών, μπορεί να χρησιμοποιηθεί ειδικό ακρυλικό τσιμέντο οστών. Σε νεότερους ασθενείς ή σε ασθενείς που δεν έχουν προβλήματα οστεοπόρωσης μπορεί να επιτύχουμε την ενσωμάτωση του μετάλλου με το οστό χωρίς τσιμέντο (τεχνική press fit) , που μπορεί να μας προσφέρει μεγαλύτερη διάρκεια ζωής. Ένας τρίτος, μεικτός τρόπος (υβρίδιο), αφορά την εφαρμογή τσιμέντου στο μηριαίο στέλεχος αλλά όχι στην κοτύλη.
Η επέμβαση γίνεται συνήθως με ραχιαία ή επισκληρίδιο αναισθησία. Κατά τη διάρκεια της επέμβασης, η οποία διαρκεί περίπου 1 ½ – 2 ώρες, αφαιρείται η κεφαλή του μηριαίου οστού και αντικαθίσταται από τεχνητή άρθρωση. Η κεφαλή του μηριαίου κόβεται και αφαιρείται ενώ στη θέση της τοποθετείται ένα μεταλλικό στέλεχος (στειλεός) στο οποίο προσαρμόζεται μια μεταλλική κεφαλή. Η κατεστραμμένη κοτύλη αντικαθίσταται από ένα κυπέλλιο από ειδικό πλαστικό που περιβάλλεται από μεταλλικό κέλυφος το οποίο εφαρμόζει στην κοτύλη.Το υλικό των μεταλλικών μερών της άρθρωσης αποτελείται από ανοξείδωτο χάλυβα, τιτάνιο ή κράμα κοβαλτίου – χρωμίου. Υπάρχουν και κεραμικές προθέσεις με καλύτερα χαρακτηριστικά τριβής αλλά είναι πιο εύθρυπτες. Η χρησιμοποίηση του πλαστικού γίνεται διότι προσφέρει μικρότερο συντελεστή τριβής με την μεταλλική κεφαλή.
Στην αρθροπλαστική ισχίου εφαρμόζουμε τα σύγχρονα πρωτόκολλα της fast track αρθροπλαστικής:
- 1) Η κινητοποίηση του ασθενούς με βάδιση αρχίζει από το απόγευμα της ίδιας ημέρας.
- 2) Οι πόνοι της επέμβασης αντιμετωπίζονται πλήρως με ειδική περιοχική αναισθησία και αποφεύγοντας τα απιοειδή που καταστέλλουν τον ασθενή.
- 3) Αναίμακτη επέμβαση χωρίς μεταγγίσεις εφαρμόζοντας τα σύγχρονα πρωτόκολλα διαχείρισης αίματος.
- 4) Παραμονή στην κλινική από 1-3 ημέρες.
- 5) Αναλόγως της φυσικής κατάστασης του ασθενούς επιτρέπεται η βάδιση με πλήρη φόρτιση του σκέλους και χωρίς υποστηρικτικό μέσο μετά τις 10-15 ημέρες.
Ανάλογα με την περίπτωση η διάρκεια νοσηλείας μπορεί να κυμανθεί από 1 έως 3 ημέρες. Ο ασθενής περπατάει απο το απόγευμα της ίδιας μέρας. Μετά την έξοδο από το νοσοκομείο, απαιτούνται καθημερινές φυσικοθεραπείες και ασκήσεις. Οι ασκήσεις φυσικοθεραπείας είναι σημαντικές μετά από μία ολική αρθροπλαστική ισχίου και συνήθως μία ομαλή ανάρρωση εξαρτάται από το κατά πόσο ο ασθενής ακολουθεί το καθορισμένο μετεγχειρητικό πρόγραμμα ασκήσεων. Σε γενικές γραμμές, οι ασθενείς αναρρώνουν αρκετά γρήγορα, ωστόσο σε ορισμένες περιπτώσεις και ανάλογα με την ηλικία και τη φυσική κατάσταση του ασθενούς, μπορεί να χρειαστεί πατερίτσες ή περπατητήρας για 15 ημέρες και στη συνέχεια χωρίς υποστηρικτικό μέσο . Για ένα σημαντικό χρονικό διάστημα 3 μηνών μετά την εγχείρηση, θα πρέπει να δείξουμε ιδιαίτερη προσοχή. Ο τρόπος που κατεβαίνουμε τα σκαλιά, που περπατάμε, που καθόμαστε ή σηκωνόμαστε από μία καρέκλα θα πρέπει να γίνει με τρόπο που θα επιβαρύνει το σώμα μας όσο λιγότερο γίνεται.
Τα ποσοστά επιτυχίας της αρθροπλαστικής ισχίου, είναι εξαιρετικά μεγάλα και μπορούν να αγίξουν το 95%. Σε πολλές περιπτώσεις, η βελτίωση της κινητικότητας του ισχίου μπορεί να επιτρέψει σε ολική αποκατάσταση κινήσεων στην καθημερινότητά αλλά και να επιτρέψει, πάντα με την καθοδήγηση του ορθοπαιδικού ιατρού να αθληθούμε. Ακόμα και σε περιπτώσεις προχωρημένης δυσκαμψίας, είναι δυνατόν να επιτευχθεί σχεδόν πλήρης και φυσιολογική κινητικότητα. Ένα σημαντικό ζητούμενο είναι η αντοχή και διάρκεια ζωής της τεχνητής άρθρωσης. Αυτή εξαρτάται από παράγοντες όπως το μεγάλο σωματικό βάρος και η ένταση της καθημερινής δραστηριότητας του ασθενούς. Αυτό σημαίνει ότι εξ’ αρχής, υπέρβαροι και νέοι σε ηλικία ασθενείς, θα πρέπει να αποφεύγουν την εγχείρηση. Έτσι, για δέκα χρόνια μετά την επέμβαση, η άρθρωση μπορεί να παραμείνει λειτουργική. Από αυτό το χρονικό διάστημα και μετά, αρχίζει μια σταδιακή χαλάρωση της μηχανικής πρόθεσης χάνοντας την αποτελεσματικότητά της στην σταθερότητα συγκράτησής της στα οστά. Μπορεί να εμφανιστεί πόνος, ο οποίος είναι εντονότερος κατά την έναρξη της βάδισης ενώ μπορεί να γίνουν αντιληπτές κάποιες μικροκινήσεις λόγω της αστάθειας στην τεχνητή άρθρωση. Στατιστικά, στα 10 χρόνια μετά την επέμβαση περίπου το ένα τέταρτο όλων των τεχνητών ισχίων θα παρουσιάζουν σημεία χαλάρωσης που θα είναι αντιληπτά σε μια ακτινογραφία. Ωστόσο λιγότεροι από το 10% των ασθενών μπορεί να χρειαστούν νέα επέμβαση αντικατάστασης της τεχνητής άρθρωσης.
Δεδομένου ότι πρόκειται για σημαντικής έκτασης επέμβαση δεν υπάρχουν αναλογικά συχνές μετεγχειρητικές επιπλοκές. Εάν το αποτέλεσμα τη επέμβασης δεν είναι απόλυτα επιτυχές, μπορεί να προκληθεί διαφορά στο μήκος των ποδιών, μετεγχειρητική λοίμωξη του ισχίου, εξάρθρωση του ισχίου, πιθανές βλάβες σε παραπλεύροντα αγγεία ή νεύρα, δυσκαμψία και πόνος στο μηρό. Πιο σοβαρά προβλήματα μπορεί να παρουσιαστούν σε μέρη του σώματος που δεν αφορούν την εγχειρισμένη περιοχή, όπως πιθανή ουρολοίμωξη, θρόμβωση στα πόδια ή σπανιότερα πνευμονική εμβολή. Η επιστροφή στην καθημερινή ρουτίνα εξαρτάται από την μετεγχειρητική αποκατάσταση του ασθενούς, την ηλικία του και τη φυσική του κατάσταση καθώς και από το περιβάλλον εργασίας του. Σε γενικές γραμμές, θα χρειαστούν δύο με τρεις μήνες πριν την επιστροφή στην εργασία, αλλά ασθενείς που δεν κάνουν εργασία που απαιτεί πολύωρη ορθοστασία ή εργάζονται σε περιβάλλον γραφείου, μπορεί να επιστρέψουν νωρίτερα.
Η νέα μέθοδος που επιπλέον είναι ελάχιστα επεμβατική σε σχέση με τις παλαιές επεμβάσεις αλλά αφορά επιλεγμένους ασθενείς , είναι η λεγόμενη ελάχιστα επεμβατική ολική αρθροπλαστική ισχίου κατά την οποία τοποθετείται τεχνητή άρθρωση στο ισχίο με πολύ μικρότερη τομή από ότι παλαιότερα, αφού απαιτείται να είναι το πολύ 7-8 εκατοστά αντί των μέχρι και 15 εκατοστών της τομής της συμβατικής μεθόδου. Επίσης, δεν απαιτείται διατομή των απαγωγών μυών του ισχίου, που αποτελούν το σπουδαιότερο παράγοντα στη λειτουργία της βάδισης. Ευεργετικά είναι τα αποτελέσματα και ως προς την αποκατάσταση του ασθενούς μετά την εγχείρηση η οποία είναι γρηγορότερη, αφού η παραμονή στο νοσοκομείο είναι περίπου 3 ημέρες αντί για 6-7 ημέρες όπως ισχύει με την συμβατική μέθοδο. Η δε κίνηση της αρθρώσεως επιτυγχάνει μεγαλύτερο εύρος, ο μετεγχειρητικός πόνος είναι μικρότερος και εμφανίζεται και μικρότερη απώλεια αίματος διεγχειρητικά. Σημαντικό να τονιστεί ότι η συγκεκριμένη μέθοδος αφορά επιλεγμένους ασθενείς και όχι την πλειοψηφία.